Sample Handling and Submission
After collection, the samples should be submitted to the laboratory for analysis as soon as possible (ideally within 2 hours of sample collection).
If there is a delay, in vitro changes (or pre-analytical errors) occur that altered the accuracy of the results. If the sample cannot be
immediately submitted, their proper handling and storage can minimize these pre-analytical errors. For example, plasma or serum for
chemistry analysis should be separated from blood cells immediately and as soon as clotting has occurred, respectively. The plasma or
serum should be transferred to a clean tube without any additives. Because of normal metabolic cellular processes, delayed separation
of plasma or serum causes a false decrease in glucose and pH. This will also interfere with analytes such as free ionized calcium
(increase) and bicarbonate (decrease). Leakage of cellular constituents such as potassium may also occur in animals with high-potassium
intra-erythrocytic concentrations (e.g. horses, cattle, and Asian dog breeds). Importantly, the use of gel separator tubes does not
prevent these pre-analytical errors and the serum should be collected from the tube after centrifugation. In small animals, clotting
typically occurs within a few minutes of placing the blood in a tube without anticoagulant. In large animal species, clotting make
take up to 30 minutes. Clotting can be enhanced by incubating the samples at 37°C for at least 10 minutes. Once harvested, the plasma
or serum should be stored at 4°C until submission (most analytes are stable for up to 48 hours if kept refrigerated).
Blood for a CBC is likewise affected by in vitro changes associated with delayed submission and sample aging. A commonly encountered
pre-analytical error is that of in vitro cell swelling as cells begin to take up water from the plasma. This will typically manifest
as a false increase in the red blood cell MCV and/or low MCHC (a pattern mimicking a regenerative anemia). Additionally, this will also
cause a falsely increased hematocrit. Morphologic aging changes also typically occur. Red blood cells typically become echinocytic
due to ATP depletion, this is important as it may obscure more significant red blood cell morphologies. Leukocytes, particularly neutrophils,
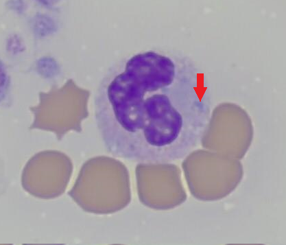
also show cell swelling. Nuclear lobation becomes less distinct and Dohle bodies appear (Figure 1 A & B) mimicking a left shift and toxic
change, respectively. Nuclei of lymphocytes become swollen, altering chromatin features, which may preclude accurate distinction between
large reactive or neoplastic lymphocytes. With time, cells will rupture (Figure 1 C).
A

Segmented neutrophil, fresh blood smear.
|
B

Nuclear swelling and Dohle bodies (arrow), 48 h old blood
|
C

Ruptured (basket) cell consisting of free nuclear material
|
All these aging changes may alter the accuracy of the differential and the assessment of white and red blood cell morphology. Platelets may
also start to clump, leading to falsely decreased counts or high MPVs. These pre-analytical errors can be minimized or circumvented by
maintaining the sample cool by refrigeration or with an ice pack (avoiding direct contact as this can cause freezing and hemolysis of
the sample) and making at least 1 blood smear immediately after sample collection. Blood smears should be submitted unfixed and unstained
along with the anticoagulated blood. Note that unlike the anticoagulated blood, the blood smears should be store at room temperature
(refrigeration causes cell lysis).
In conclusion, there are various and cumulative preanalytical variables that can affect the accuracy of laboratory analyses. It is
important and necessary to be aware of these preanalytical variables, of how to prevent them or minimized them, and to take them into
account when interpreting results.
1. CLSI GP41, Collection of Diagnostic Venous Blood Specimens, 7th Edition