Skip to navigation
Skip to content
City University of Hong Kong
CityU Veterinary Diagnostic Laboratory
CityU Veterinary Diagnostic Laboratory
  • About Us
    • CityU VDL
    • The Team
      • Veterinary Pathologists
      • Laboratory Section Heads
    • Lab Sections
      • Anatomic Pathology
      • Clinical Pathology
      • Microbiology
      • Molecular Diagnostics
      • Serology & Immunology
  • Available Tests
    • Information
    • List of Tests
    • Pathologist Blood Smear (CBC) Review Protocols
  • Client Guideline
    • Sample Submission
    • Sample Collection Guide
      • Cytology
      • Histology
      • Post Mortem
      • Fluid Cytology & Fluid Analysis
    • Blood Tubes for Clinical Pathology
    • Practice Tips
      • Laboratory Testing
      • Collection Tube
      • Post-prandial Lipemia
      • Sample Volume
      • Sample Handling And Submission
      • Diagnosis and Monitoring of Hyperadrenocorticism
      • Characterising Tumours on Cytology
      • Thyroid Function Tests and Feline Thyroid Disease
  • News & Announcement
    • News
    • Newsletters
    • Recent Cases
    • Recent Publications
  • Resources
    • Resources
    • Training Video
  • Contact Us
    • Contact Us
    • View in Google Map
CityU VDL Update
  • News
    • News in 2021 & 2022
    • News in 2018 & 2019
  • Newsletters
    • Current Issue
    • Archive Issues
  • Recent Cases
  • Recent Publications

Recent cases

  27 August 2019

Case 9: E Cuniculi Uveitis In A Rabbit

  27 August 2019

Case 8: Trematodes In Turtles

  15 August 2018

Case 7: Cystoisospora Infection In A Puppy

  15 August 2018

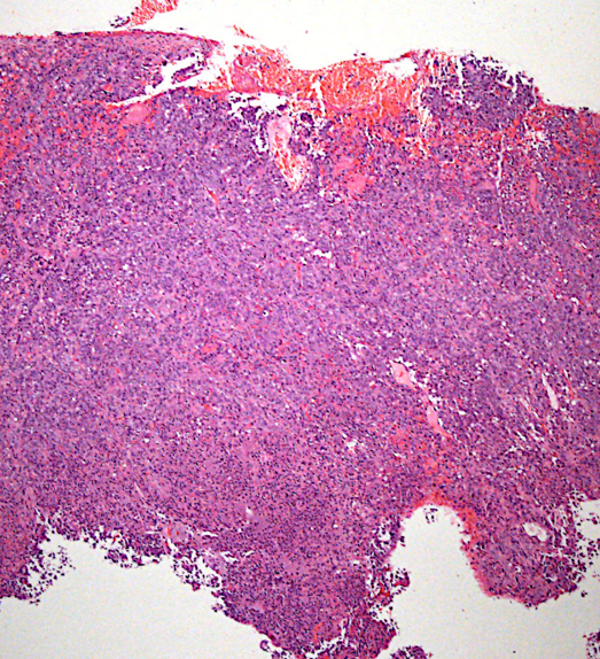
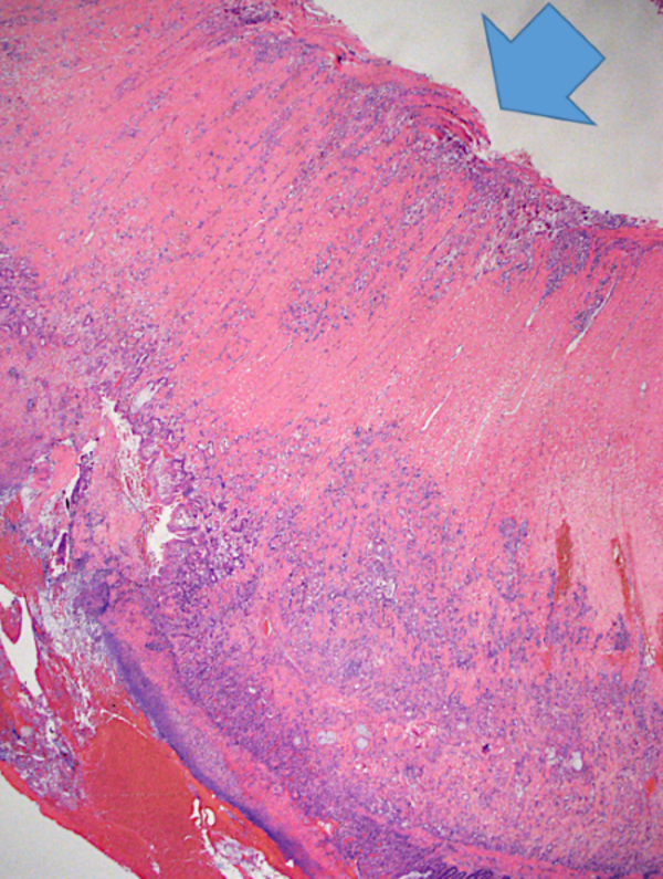
Case 6: Gingival Melanoma

  15 August 2018

Case 5: Bacterial Pyoderma

  15 August 2018

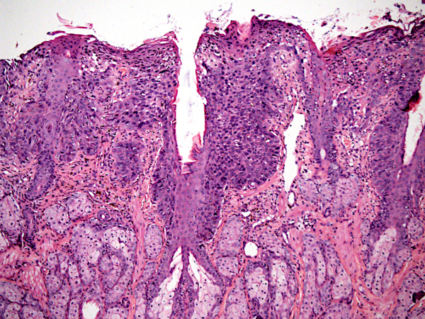
Case 4: Carcinoma In Situ On The Ear

  15 August 2018

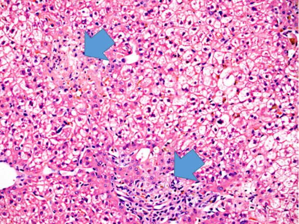
Case 3: Neutrophilic Hepatitis

  14 August 2018

Case 2: Intestinal Adenocarcinoma

  14 August 2018

Case 1: Hepatic Ductal Plate Anomaly

  • About Us
    • CityU VDL
    • The Team
    • Lab Sections
  • Available Tests
    • Information
    • List of Tests
  • Client Guideline
    • Sample Submission
    • Specimen Collection Guideline
    • Blood Tubes for Clinical Pathology
    • Practice Tips
  • News & Announcement
    • News
    • Newsletters
    • Recent Cases
    • Recent Publications
  • Resources
    • Resources
    • Training Video
  • Contact Us
    • Contact Us
    • View in Google Map

Privacy Policy Copyright Disclaimer Accessibility Contact Us Get PDF Reader
© City University of Hong Kong. All Rights Reserved.
City University of Hong Kong